
La prothèse de coude est une solution chirurgicale proposée lorsque l’articulation du coude est gravement abîmée et que les traitements médicaux classiques ne suffisent plus à soulager la douleur ou à restaurer la fonction.
Dans quels cas poser une prothèse de coude ?
On y a principalement recours dans les situations suivantes :
- Arthrose sévère du coude
- Polyarthrite rhumatoïde
- Fractures complexes du coude, notamment chez la personne âgée
- Séquelles de traumatismes ou d’infections
- Raideur ou instabilité articulaire invalidante
Lorsque la douleur devient permanente et que les gestes simples du quotidien sont difficiles, la prothèse peut être envisagée.
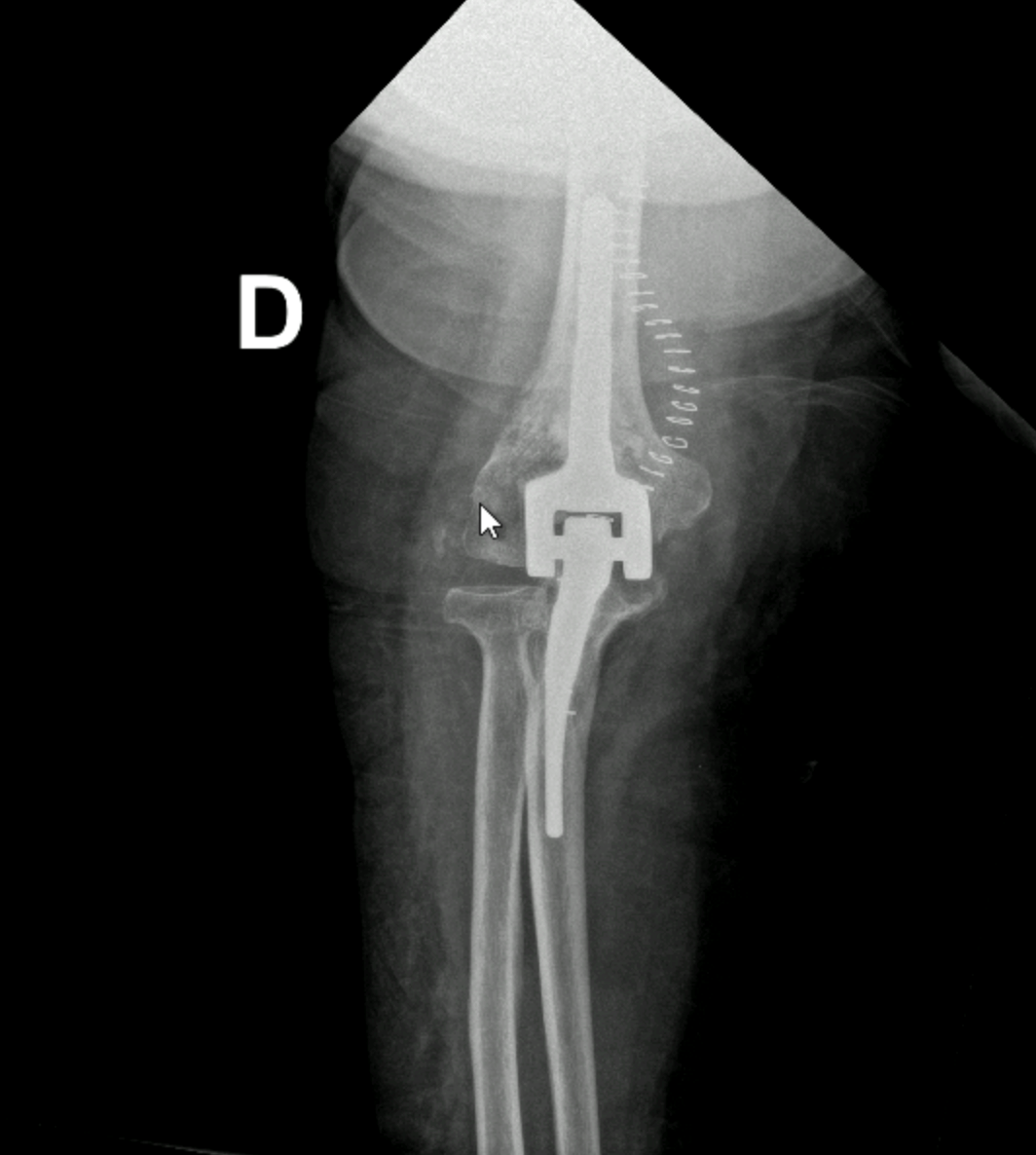
En quoi consiste une prothèse de coude ?
La prothèse remplace tout ou partie de l’articulation du coude par des composants artificiels, le plus souvent en métal et en polyéthylène.
Il existe plusieurs types de prothèses selon la pathologie et l’état des ligaments :
- Prothèses totales liées (les plus fréquentes)
- Prothèses non liées
- Prothèses partielles
Le choix dépend de chaque patient et se fait après un bilan clinique et radiologique précis.
Quels sont les bénéfices attendus ?
Les objectifs principaux sont :
- Soulager la douleur
- Récupérer une mobilité fonctionnelle
- Améliorer la qualité de vie
- Permettre un retour aux gestes du quotidien
Il ne s’agit pas d’un coude “neuf”, mais d’un coude fonctionnel et indolore dans la majorité des cas.
Quelles limites et précautions ?
La prothèse de coude impose certaines contraintes :
- Éviter les ports de charges lourdes à vie
- Suivi médical régulier
- Usure possible avec le temps
- Risque (rare) d’infection ou de descellement
C’est pourquoi l’indication est toujours soigneusement pesée.
En résumé
La prothèse de coude est une solution efficace dans des situations bien précises, lorsque les douleurs et la perte de fonction deviennent invalidantes. Elle permet souvent de retrouver une vie quotidienne plus confortable, au prix de certaines précautions à long terme.
